セカンドオピニオンも受け付けております
「現在治療を受けている医院の説明がわかりにくい」「歯を抜くしかないといわれてしまった」「インプラント治療はできないと診断された」など、他院での診断にお悩みの方のご相談に対応します。
| 診療時間 | 月 | 火 | 水 | 木 | 金 | 土 | 日・祝 |
|---|---|---|---|---|---|---|---|
| 8:00-20:00 | ● | ● | ◎ | ◎ | ● | ▲ | / |
◎ ・・・11:00〜20:00
▲・・・9:00-14:00
※最終受付:診療時間の30分前まで
※電話受付:診療終了の10分前まで
休診日:日・祝
2026/04/08 症例
ジルコニアセラミックス治療 ホワイトニング治療
3ヶ月
7回
ジルコニアセラミックス 132,000円(税込) ホーム&オフィスホワイトニング 55,000円(税込)

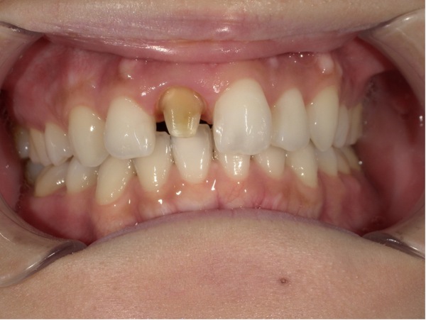
今回の患者様は「前歯の色を白くしたい。右上1番の昔作った被せ物がのっぺりしてしまい、歯茎の黒ずみも気になる。」とのことで来院されました。
まず、以前に作成された被せ物を除去し仮歯に変えました。
以前に神経を取る治療をされた歯でしたが、根の先に問題はなかったため今回は根の治療は行いませんでした。
前歯の被せ物をやりかえる際に全体的に歯を白くしたいとのことでしたので、オフィスホワイトニングとホームホワイトニングを行い、歯をご満足いく色調まで白くしたところで最終的な補綴物の作成を行いました。
仮歯に変えた後の写真です。

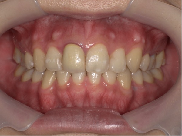
ホワイトニング後の写真です。

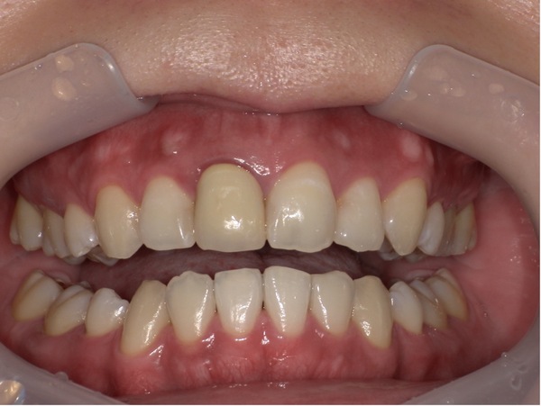
型取り時の写真です。

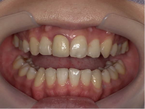
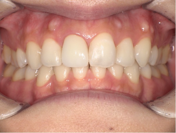
こちらが治療後の写真です。

特にトラブルなく状態も安定し、形態、色調ともにご満足いただけました。
・年数の経過で歯茎の位置が下がってくる可能性があります。
・自由診療での治療となります。
・ホワイトニングの際にしみる等の症状が出る可能性があります。
今回の症例は被せ物のやり直しとホワイトニングを行いました。
治療開始時、昔の被せ物が気になりなるべく早く取り替えたいとのことでしたので、まず仮歯に変えさせていただきました。
その後全体的なクリーニングとホワイトニング治療により、ご満足いただける色調になったところでジルコニアセラミックスを作成しました。
被せ物はホワイトニングで色が変わりません。後からホワイトニングを行うと被せ物の色だけご自分の天然歯と色がずれてしまいます。ですので前歯を白くしたいと考えている場合は、ホワイトニングを含めて治療の順番を考える必要があります。
また、今回オフィスホワイトニングの後にホームホワイトニングも行うことで、より効果的に歯を白くすることができました。
以前治療した被せ物は金属とプラスチックで作成された被せ物でした。プラスチックは時間と共に変色を起こしたり、汚れがつきやすくなったりします。また、見た目も透明感が少ないため、のっぺりとした印象になりやすいです。さらに金属をフレームに使用しているので、歯茎の際のところに黒ずみができることがあります。
今回当院で作成したジルコニアセラミックスは、フレームにジルコニアという白い材料を用いるため黒ずみができません。またセラミックスで表面を作成しているので透明感もあり、審美性も高いです。
治療の流れは、以下の順に行いました。
仮歯の型取り→仮歯のセット→クリーニング→ホワイトニング→型取り→ジルコニアセラミックス仮セット→本セット
各治療のタイミングで、しっかりと確認を行いご納得いただきながら治療を進めました。
京橋 銀座みらい歯科では様々なケースに対応できるよう患者様への選択肢の提示を行っております。メリット、デメリットをしっかりとご説明し、ご理解をいただいてから治療を行っております。ぜひ、歯のことでお困りのことがありましたらお気軽にご相談ください。
京橋 銀座みらい歯科 副院長 有輪
こちらもご参照ください。
「現在治療を受けている医院の説明がわかりにくい」「歯を抜くしかないといわれてしまった」「インプラント治療はできないと診断された」など、他院での診断にお悩みの方のご相談に対応します。
まずはお気軽にご相談ください。
東京メトロ銀座線「京橋駅」3番出口直結
東京メトロ有楽町線「銀座一丁目駅」7番出口より徒歩2分
都営浅草線「宝町駅」A4番出口より徒歩2分
JR「東京駅」八重洲南口より徒歩6分
JR「有楽町駅」京橋口より徒歩6分
| 診療時間 | 月 | 火 | 水 | 木 | 金 | 土 | 日・祝 |
|---|---|---|---|---|---|---|---|
| 8:00-20:00 | ● | ● | ◎ | ◎ | ● | ▲ | / |
◎ ・・・11:00〜20:00
▲・・・9:00-14:00
※最終受付:診療時間の30分前まで
※電話受付:診療終了の10分前まで
休診日:日・祝