セカンドオピニオンも受け付けております
「現在治療を受けている医院の説明がわかりにくい」「歯を抜くしかないといわれてしまった」「インプラント治療はできないと診断された」など、他院での診断にお悩みの方のご相談に対応します。
| 診療時間 | 月 | 火 | 水 | 木 | 金 | 土 | 日・祝 |
|---|---|---|---|---|---|---|---|
| 8:00-20:00 | ● | ● | ◎ | ◎ | ● | ▲ | / |
◎ ・・・11:00〜20:00
▲・・・9:00-14:00
※最終受付:診療時間の30分前まで
※電話受付:診療終了の10分前まで
休診日:日・祝
2026/04/25 症例
ジルコニアセラミックにて修復
1ヶ月半
7回
132,000万円×5本(税込)
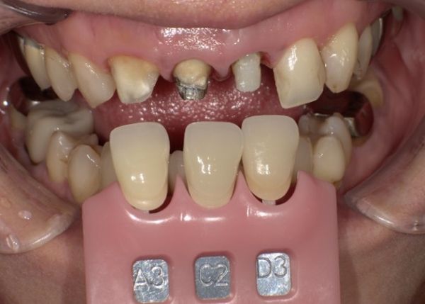
今回の患者様は、「前歯を過去に治療しセラミックにて修復をしたが、変色してしまったため交換したい」とのご希望があり来院されました。
他の隣り合う歯も形が気になっているので、形も含めご相談をしたいとのことでした。また、下の歯にも変色した保険の被せ物があり、これについても変更をご希望されました。
下の歯や右上の歯に関しては過去にも被せ物の治療をするか迷っていたことはあったようですが、なかなか決心がつかず見送っていたとのことです。
現状では痛みなどは特にない状況で、最終的には周囲の歯と色を揃え、セラミックで治療したいとの希望がありました。
まず、除去および形成を行い、仮歯を仮着しました。

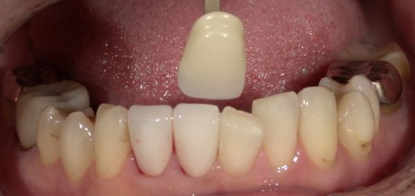
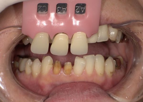
型取り、色合わせのための写真撮影を行い最終補綴へ移行しました。

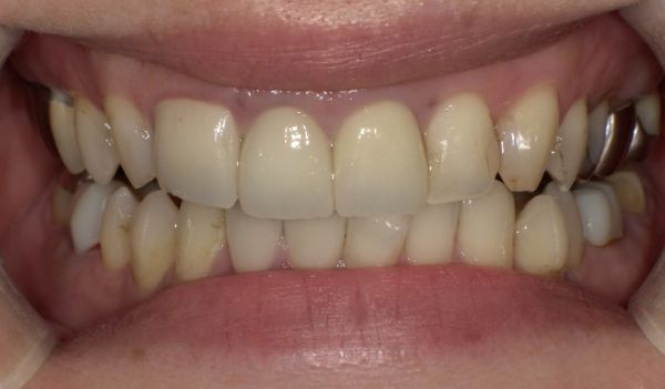
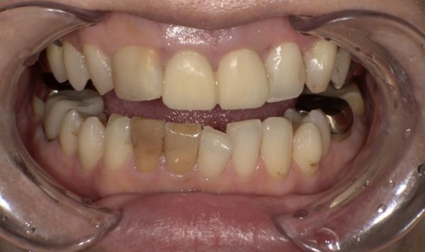
特に処置後も痛みなどはなく、状態も安定しています。色調にもご満足いただけました。


・予後を完全に保証するものではありません。
・自由診療での治療となります。
・治療終了後に、咬むと痛いなどの症状が出る場合があります。
今回の症例では、前歯の色調に対する不満、過去に治療するか迷っていた歯に関する将来的な不安から、やり替え治療と新たな被せ物治療のご希望がありました。
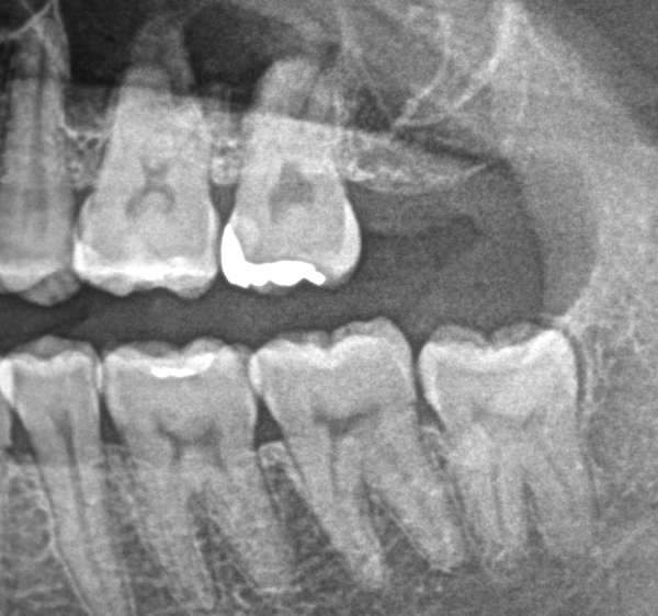
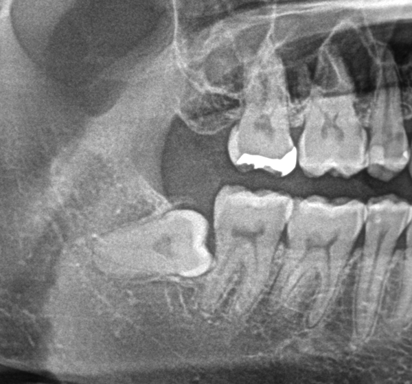
実際には、右上歯に関しては癒合歯といわれる2番目の歯と3番目の歯がくっついてしまっている状態で、サイズも通常より大きく形態も通常とは異なり変色もしていました。
人間の歯の本数を皆さんはご存じでしょうか。8020(80歳で20本以上の自分の歯を保つこと)などは聞いたことがある方も多いかもしれません。実際は上下左右合わせると28本が基本で親知らずを合わせると32本になります。現代では、そもそも親知らずが存在しない場合もあります。


まっすぐ生えてしっかりとかみ合っている場合もあれば、斜めに生えている場合もあり、顎の骨の中に埋まっている場合もあります。
すべてのケースで抜歯が必要なわけではありませんが、汚れがたまりやすく、虫歯になる場合が多くあります。また、ブラシがきれいに当たらず歯茎周りに汚れが残りやすく、歯茎が腫れて痛みが出る場合も多くあります。
少し話がそれましたが、歯には親知らず以外にも特徴的な形になるものがあります。
例として矮小歯、癒着歯、癒合歯などが代表的なものです。これらの原因は胎児の頃にまで遡ります。完全な原因は特定できませんが、偶発的に発生するものとされており、問題がなければ通常は歯科医院での定期的な検診で経過観察をしていく事が多いです。
今回の場合では、2本の歯が1本に癒合している状況であり、変色もあったため、被せ物の治療を行うことになりました。
人間の歯の形態、位置、並び方などは一人として同じものはありませんし、正解もありません。今回の症例でも癒合はしていましたが、患者さんへの不都合は特になく、何度か樹脂で治療を行っていました。しかし、先頭の2本の歯をかぶせるタイミングで一緒にきれいにセラミックで治したいとのご希望でした。樹脂の詰め物は手軽に治療できる反面、経年的な色の変化や材料の劣化などが起きやすく、長期間使うことは難しい場合もあります。
当院では、仮の歯に置き換え、なるべくご希望の形態、色調に沿うようにし、被せ物を入れる方法を選択しております。仮歯に置き換えを行った後には何度か形態のすり合わせをしていき、ご希望に近い状態をめざしています。治療を行う際には歯科医師とよくご相談の上、治療を行っていただければと思います。
今回の被せ物に関しては、セラミックでの治療なので、金属を使用していないため、歯と歯茎の境目に金属色が見えてくるなどのリスクもありません。セラミックの中でも、ジルコニアセラミックを使用することで色調だけでなく、汚れがつきにくく、強度もあり、長期的に使用可能な被せ物を装着することができます。また、ご自身の歯との色の違いを最小限にするように心がけました。
色調に関しては、写真を多数撮影して、提携ラボ歯科技工士さんへお送りし、色調の再現をお願いしております。
使用カメラに関しても技工士と同じものを使用する事で、色の誤差などを最小限に減らすよう工夫しております。
京橋 銀座みらい歯科では、様々なケースにご対応できるよう患者様への選択肢の提示を行っております。メリット、デメリットをしっかりとご説明し、ご理解を頂いてから治療を行っております。お気軽にご相談ください。
京橋 銀座みらい歯科 歯科医師 吉竹
こちらもご参照ください。
「現在治療を受けている医院の説明がわかりにくい」「歯を抜くしかないといわれてしまった」「インプラント治療はできないと診断された」など、他院での診断にお悩みの方のご相談に対応します。
まずはお気軽にご相談ください。
東京メトロ銀座線「京橋駅」3番出口直結
東京メトロ有楽町線「銀座一丁目駅」7番出口より徒歩2分
都営浅草線「宝町駅」A4番出口より徒歩2分
JR「東京駅」八重洲南口より徒歩6分
JR「有楽町駅」京橋口より徒歩6分
| 診療時間 | 月 | 火 | 水 | 木 | 金 | 土 | 日・祝 |
|---|---|---|---|---|---|---|---|
| 8:00-20:00 | ● | ● | ◎ | ◎ | ● | ▲ | / |
◎ ・・・11:00〜20:00
▲・・・9:00-14:00
※最終受付:診療時間の30分前まで
※電話受付:診療終了の10分前まで
休診日:日・祝